- •
La patología odontológica es un motivo de consulta frecuente en atención primaria.
- •
La caries y patología periodontal son unas de las patologías crónicas más frecuentes en población adulta.
- •
Actualmente no se indica tratamiento antibiótico en pacientes afectos de pulpitis, la complicación más frecuente de las caries.
- •
El tratamiento precoz de las lesiones dentales causadas por traumatismo puede evitar complicaciones a largo plazo.
- •
Las indicaciones de tratamiento antibiótico para abscesos dentales se reservan a pacientes inmunodeprimidos o con afectación sistémica.
- •
La higiene dental es clave para la prevención de la patología bucodental.
El diente es un órgano duro, blanco y liso que sirve básicamente para masticar los alimentos. Está constituido macroscópicamente por tres partes: la corona, la raíz y el cuello, zona de separación entre la corona y la raíz. El esmalte, la dentina y la pulpa son los tejidos dentarios, y la encía es el tejido peridentario blando que se adhiere al cuello de los dientes1 (fig. 1).
Esmalte. Es el tejido más duro y calcificado del organismo, lo que justifica su acción protectora. Constituye la superficie exterior de la corona y su grosor aumenta a partir del cuello. El esmalte completamente formado está libre de sensaciones dolorosas, ya que carece de vasos y nervios.
Dentina. Constituye el tejido más voluminoso del diente, se encuentra debajo del esmalte y está dispuesta en el diente, desde la corona hasta la raíz. A diferencia del esmalte, la dentina da una respuesta dolorosa ante estímulos físicos y químicos, especialmente si la capa protectora del esmalte se altera.
Pulpa. Es la zona más interna del diente, está formada por un tejido blando conjuntivo, irrigado por vasos sanguíneos e inervado por fibras nerviosas, que al ser extremadamente sensibles pueden originar dolor dental.
Numeración de piezas dentales1Las piezas dentales no solo reciben un nombre (caninos, molares, premolares,…) en Odontología, también se les identifica mediante una numeración concreta (fig. 2).
En total, la gran parte de los adultos dispone de 32 piezas dentales, estructuradas de la siguiente manera: 8 incisivos (2 frontales y 2 laterales, arriba y abajo); 8 premolares (2 primeros y 2 segundos, arriba y abajo); 4 caninos (2 arriba y 2 abajo) y 12 molares (4 primeros, 4 segundos y 4 terceros, arriba y abajo).
En general, la mayoría de los adultos tiene una dentadura completa cuando llegan a la adolescencia. No obstante, muchas personas optan por extraerse los cordales, o muelas del juicio, para permitir que otros dientes crezcan más cómodamente o bien evitar problemas de desalineación.
La dentición pediátrica presenta un total de ocho piezas dentales menos que la dentición adulta, debido a la ausencia de premolares. La erupción de la dentición permanente comienza entre los 6 y 7 años de edad y culmina alrededor de los 20 a 21 años, con la aparición de los terceros molares.
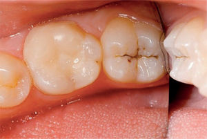
CariesSe trata de la patología crónica más prevalente del mundo. Consiste en una destrucción del esmalte dental debido a la acidificación del medio por la fermentación de los hidratos de carbono de la boca por parte de la flora polimicrobiana de la boca (principalmente Streptococcus mutans)2.
EtiologíaEl origen es multifactorial:
Susceptibilidad dental (cantidad de flúor).
Disposición de las piezas dentales.
Composición de la saliva. Una menor producción de saliva predispone a padecer caries. Existen fármacos y patologías que reducen la producción de saliva (tabla 1)1.
Dieta rica en hidratos de carbono. Ingesta de bebidas azucaradas.
No tiene relación con malnutrición o déficits vitamínicos.
Prevención: higiene bucal.
Clínica. Inicialmente es asintomática (fig. 3) hasta que alcanza tejidos dentales profundos (pulpitis).
Tratamiento. Eliminación mecánica y obturación (popularmente conocido como “empaste”)
Pulpitis. Es la complicación más frecuente de las caries. Consiste en una inflamación de la pulpa dental que causa dolor en el momento del cepillado, con los cambios térmicos o al ingerir azúcares en la dieta. En casos muy evolucionados (pulpitis irreversible) el dolor puede ser constante, sin modificarse por factores externos.
La pulpitis, en cualquiera de sus formas reversible o irreversible, sintomática o asintomática, es un proceso local, no producen signos o síntomas de propagación, por lo que se trata mediante tratamiento local y, en ningún caso requiere tratamiento antibiótico. Es importante recalcar la no indicación de antibiótico en estos casos, pues se trata de uno de los motivos de consulta de origen dental más frecuente en los servicios de urgencias y durante muchos años se ha utilizado el antibiótico para tratar la pulpitis irreversible3.
El tratamiento indicado en estos casos puede consistir en la extracción completa de la pieza afecta, en una endodoncia o tratamiento de los conductos radiculares.
Igualmente, se deberá realizar un correcto abordaje del dolor, mediante analgesia acorde con la clínica del paciente3.
GingivitisPatología causante de inflamación de las encías por acúmulo de placa bacteriana. Es un proceso frecuente en adultos (hasta 50% según las series) pero reversible4.
Sus factores de riesgo son el tabaco, la diabetes, el uso de ciertos medicamentos, respiración oral, enfermedades sistémicas, higiene deficiente y los antecedentes familiares4.
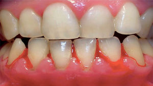
Clínica. Enrojecimiento y sangrado de las encías, especialmente en el cepillado (fig. 4). Una gingivitis prolongada puede causar hipertrofia gingival (fig. 5).
Prevención. Higiene bucal, disminución del tabaquismo.
Tratamiento. El dolor se tratará con analgésicos. El raspado y alisado radicular para eliminar la placa dental también evitará la evolución de la periodontitis.
Complicaciones:
- •
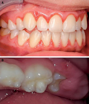
Pericoronitis: infección en la mucosa que recubre la corona del diente parcialmente erupcionado. Es frecuente en la erupción del tercer molar inferior (muela del juicio), hacia los 20-30 años de edad (fig. 5).
- •
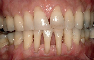
Periodontitis o piorrea: progresión de la inflamación gingival (fig. 6) que afecta a las estructuras de soporte del diente. Inicialmente asintomática, su avance supone la destrucción de las estructuras que fijan el diente, pérdida de hueso maxilar y, finalmente, la caída de la pieza dental. Afecta al 30% de los adultos y es más frecuente en varones5.
- –
Crónica o del adulto. Por su evolución en el tiempo y no a su imposibilidad de curación. Progresa lentamente. Se da en personas sanas, aunque se han descrito factores de riesgo como una pobre higiene oral, el estrés, el tabaquismo, etc.
- –
Agresiva, de rápida evolución. Se suele dar en adultos jóvenes y sanos. Se ha descrito agregación familiar.
- –
El sarro dental (también conocido como cálculo o tártaro dental) es consecuencia de la acumulación y endurecimiento de la placa bacteriana entre los dientes y la línea de las encías (fig. 7). El sarro está formado por bacterias, restos de saliva, restos de alimentos y células muertas que no se eliminan correctamente con la higiene dental. Una vez se ha formado, no puede ser eliminado con la higiene oral habitual y precisa de una limpieza exhaustiva por parte del odontólogo o higienista dental.
Es un factor de riesgo para la aparición de caries, enfermedad periodontal, gingivitis, halitosis y en estados avanzados, de pérdida de piezas dentales6.
Abscesos dentalesInfección purulenta localizada en los tejidos periodontales. Pueden ser causados por necrosis pulpar, infecciones periodontales, pericoronaritis, por un trauma o secundario a un tratamiento invasivo. Son una causa frecuente de consulta urgente. Según su origen, los clasificamos en2:
- •
Absceso gingival: doloroso, localizado en la encía marginal e interdental, generalmente asociado al impacto de cuerpos extraños (fig. 8).
- •
Absceso periapical o dentoalveolar: afecta a los tejidos circundantes a la raíz dental tras la afectación pulpar originada por una caries. Puede cursar con exudado purulento. Se caracteriza por dolor intenso, constante y a la percusión de la pieza dental afectada dolorosa. Es característica la sensación de «diente largo» (el paciente refiere que el diente le ha crecido) (fig. 9).
- •
Absceso periodontal: al alcanzar la pared gingival de una bolsa profunda periodontal. Puede cursar de forma aguda o cronificarse. Puede ser asintomático si drena espontáneamente (fig. 10).
- •
Absceso pericoronal: sobre la mucosa que cubre un diente parcialmente erupcionado.
Los abscesos dentales, como norma general, no precisan tratamiento antibiótico. Solo se recomienda antibioterapia en los siguientes casos2,3:
- –
Pacientes inmunodeprimidos (neutrófilos<500/ml).
- –
Pacientes con síntomas de afectación sistémica: linfadenopatía, fiebre, malestar general, escalofríos, taquipnea, taquicardia, sudoración, síndrome febril).
- –
Cuando el proceso inflamatorio se expande y progresa hacia regiones vecinas (región periorbitaria, región laterocervical o celulitis facial).
El antibiótico de elección será la amoxicilina 500mg cada 8 horas durante 5 días. En alérgicos a betalactámicos el antibiótico de elección será la clindamicina 300mg vía oral cada 8 horas durante 5 días3. Además del tratamiento antibiótico, en los casos expuestos también se deberá considerar la derivación a centro hospitalario para tratamiento.
La guía PRAN enfatiza que el tratamiento antibiótico se debe acompañar de tratamiento dental, como el desbridamiento del absceso, limpieza o extracción del diente afecto3.
El manejo instrumentado por parte del odontólogo puede evitar el tratamiento con antibióticos.
Traumatismo dentalLas lesiones dentales por traumatismo son frecuentes, especialmente en deportes de contacto y en paciente pediátrico. Según la OMS un 20% de la población mundial sufrirá un traumatismo dental a lo largo de la vida7.
Los incisivos centrales son los dientes más frecuentemente afectados (fig. 11).
FracturaFractura tipo I: se limita al esmalte. No requiere tratamiento urgente.
Fractura tipo II: afecta a la dentina. Sensibilidad a los cambios térmicos. Se considera una urgencia odontológica.
Fractura tipo III: se extiende a la pulpa. Se considera una urgencia odontológica.
En la figura 12 se pueden ver los diferentes tipos de fracturas dentales según el grado de afectación.
El fragmento se puede conservar en suero fisiológico, leche (si puede ser desnatada y de cabra) o saliva si no se dispone de los dos anteriores8.
La porción fracturada se podrá reenganchar con adhesivo dental y se valorará la necesidad de realizar tratamientos complementarios como una endodoncia.
Hay diferentes grados de afectación dental:
- •
Subluxación. La pieza dental queda móvil pero no dislocada tras el traumatismo. El tratamiento consiste en dieta blanda y analgesia.
- •
Luxación. Más frecuente en el paciente pediátrico por la consistencia del diente. Se considera una urgencia odontológica y precisa de tratamiento en menos de una hora. Inicialmente se intentará alinear y ferulizar el diente en su posición.
En el paciente pediátrico es frecuente la intrusión del diente (la pieza se hunde hacia la encía). Es estos casos dejaremos que la pieza extruya por sí sola.
- •
Avulsión completa. Se considera una urgencia odontológica y precisa de tratamiento en menos de una hora (idealmente se deberá reimplantar y ferulizar la pieza en menos de 15 minutos).
Para reimplantar la pieza avulsionada se deberá recoger por la corona, mojar con agua fría (sin jabón) y reposicionar en el alveolo aplicando una presión constante hasta conseguir una inserción completa. Entonces colocaremos una gasa sobre la pieza y pediremos al paciente que apriete para evitar que el diente se vuelva a extruir. El paciente deberá acudir a un odontólogo de urgencias para realizar la ferulización definitiva.
En caso de no poder reimplantar se podrá transportar la pieza en suero fisiológico, leche o saliva hacia un odontólogo o cirujano maxilofacial lo más pronto posible.
La reimplantación solo es posible en dientes definitivos. En paciente pediátrico no se reimplantará la pieza.
Tras una avulsión completa el paciente deberá realizar tratamiento antibiótico.
Las lesiones dentales se pueden prevenir en deportes de contacto mediante el uso de protectores bucales9.
Aftas bucalesDefinimos afta como una lesión ulcerosa superficial, dolorosa que aparece en la mucosa bucal, de color generalmente blanquecino o amarillento. En la mayoría de los casos son benignas. Pueden ser secundarias a patología viral (herpes, varicela, Coxsackie), mecánica (maloclusión) o secundarias a patología sistémica10.
La localización frecuente de las aftas es la mucosa labial, el dorso de la lengua y el suelo de la boca; se observa un centro blanco rodeado de un halo hiperémico (fig. 13).
Signos de alarma: fiebre, úlceras en otras mucosas, pacientes inmunodeprimidos, afectación ocular, aparición de adenopatías.
Tratamiento: sintomático, anestésicos locales, ácido hialurónico tópico. Prevención de complicaciones: antisépticos locales tópicos, control de dieta (evitar irritantes).
BruxismoEl bruxismo se define como el hábito de apretar o rechinar los dientes, diurno o nocturno, con distintos grados de intensidad y persistencia. Desde el punto de vista etiopatogénico se puede clasificar como primario o idiopático y de tipo secundario o iatrogénico. Existe una clara relación del bruxismo con el estrés/ansiedad.
Se estima que la incidencia de bruxismo en la población general es del 20-30%10.
El diagnóstico suele ser clínico, aunque se puede confirmar mediante polisomnografía.
Consecuencias:
- –
Atricción (el nombre que recibe el desgaste dental producido por el bruxismo).
- –
Interferencias dentarias.
- –
Dolor muscular o fatiga, cefalea.
- –
Hiperestesia.
- –
Úlceras o erosiones en la boca.
- –
Sobrecarga de la articulación temporomanibular.
Tratamiento: férulas de descarga (para evitar el daño en piezas dentarias y para disminuir la tensión muscular), tratamiento fisioterápico, terapia cognitivo-conductual o terapia del estrés/ansiedad11.
XerostomíaLa xerostomía se define como una disminución o ausencia de la producción de saliva, lo que provoca una sensación subjetiva de sequedad en la boca. Es frecuente en los ancianos y suele ser, en general, manifestación de una enfermedad o efecto secundario de algún medicamento. La xerostomía favorece el crecimiento bacteriano, dificulta la higiene de prótesis dentales, así como la permanencia de estas en su sitio; la saliva favorece la formación del bolo alimenticio y degrada en primera instancia varios de los hidratos de carbono de la dieta, lo que provocará meteorismo en caso de existir una disminución de calidad y cantidad10.
La xerostomía puede ser también iatrógena (tabla 1).
El abordaje de la xerostomía debe consistir en primer lugar en buscar la etiología. El tratamiento deberá centrarse en el control de los síntomas y la prevención de los efectos adversos de la falta de saliva sobre los tejidos de la cavidad oral. El tratamiento más simple es la ingesta frecuente de sorbos de agua, aunque su efecto es limitado en el tiempo. Existen también preparados de saliva artificial, ya sea en espray o gel.
Dichos pacientes deberán seguir una estricta higiene oral para reducir el riesgo de caries. Igualmente, se les deberá recomendar una dieta baja en hidratos de carbono, especialmente alimentos ricos en glucosa o sacarosa.
Patología de la articulación temporomandibularLa patología de la articulación temporomandibular (ATM) afecta la mandíbula y los músculos masticatorios. Se debe diferenciar la patología de la ATM, que se puede constatar con pruebas diagnósticas, de la disfunción de la ATM, que consiste en una condición clínica de dolor en dicha articulación10.
La ATM, como cualquier articulación sinovial, está sujeta a patología por sobreuso o patología inflamatoria. Se trata de una articulación en la que podemos detectar artrosis y puede verse afectada por patología reumática, como la artritis reumatoide, espondilitis anquilosante o depósito de microcristales (más frecuente condrocalcinosis que ácido úrico).
La disfunción de la ATM es una condición clínica que consiste en dolor en la ATM al masticar. El dolor puede ir acompañado de crujidos al movilizar la articulación. El dolor puede irradiar a la sien o el cuello e ir acompañado de trismus y inflamación en los músculos masticatorios. Es una condición más frecuente en mujeres y en pacientes que aprietan o rechinan los dientes. Los pacientes que rechinan los dientes durante el sueño suelen presentar dolor matutino en la ATM. El tratamiento consiste en medicación analgésica, dieta blanda, férulas de descarga, reeducación, fisioterapia, infiltraciones, y en algunos casos refractarios cirugía12.
HalitosisLa halitosis, definida como el mal olor proveniente del aliento de una persona, puede tener múltiples causas. Es un síntoma frecuente de múltiples enfermedades odontológicas, pero se debe plantear un diagnóstico diferencial con otras enfermedades extraorales (tabla 2)10.
Causas de halitosis
| Causa oral | Causa extraoral |
|---|---|
| Enfermedad periodontal y gingivitisHigiene oral deficienteReconstrucciones orales deterioradasAbsceso dentalEstomatitis, glositisEnfermedades faríngeas víricas, bacterianas o fúngicasEnfermedad parotídea primaria o secundariaEnfermedad amigdalar | Causas ORL y respiratorias: sinusitis, pólipos nasales, rinitis, tumores, cuerpos extraños, bronquiectasias, carcinoma bronquial, infecciones respiratoriasCausas digestivas: divertículo de Zenker, reflujo, acalasia, hemorragia digestiva, infección por Helicobacter pylori, cáncer gástrico, patología biliar, cirrosis hepáticaOtras: diabetes mellitus, insuficiencia renal y hepática, fiebre, deshidratación, déficits vitamínicos y minerales |
Existe un fenómeno fisiológico conocido como aliento matutino, causado por la disminución de flujo de saliva, y por consiguiente una disminución de la función higiénica de la misma y un crecimiento de las bacterias.
El tratamiento de la halitosis implica unas medidas generales sintomáticas (higiene oral, con especial énfasis en la higiene de la lengua) y el tratamiento específico según la etiología causante.
Higiene bucal13Recomendaciones dietéticasSe recomiendan las siguientes:
- –
Evitar productos ricos en azúcares (sacarosa y glucosa). Evitar dulces y caramelos (las golosinas blandas han demostrado aumentar el riesgo de caries).
- –
Evitar ingerir alimentos ricos en azúcares antes de ir a dormir.
- –
Evitar alimentos demasiado ácidos.
- –
Incrementar la ingesta de alimentos ricos en calcio y flúor.
- –
Comer alimentos sólidos y duros para fortalecer las encías y limpiar los dientes (por ejemplo, manzanas, zanahorias, …)
Las recomendaciones de higiene son:
- –
Cepillar los dientes al menos dos veces al día o después de cada comida. Muy importante que uno de los cepillados sea antes de acostarse.
- –
El cepillado se debe realizar durante 2-2,5 minutos.
- –
Deben cepillarse todas las caras del diente, así como las encías y la lengua.
- –
El cepillo dental debe cambiarse cada 3 meses o cuando las cerdas están muy desgastadas
- –
Los cepillos eléctricos son muy útiles para las personas que suelen acumular sarro, pues el cepillado más enérgico ayuda a eliminarlo.
- –
Un correcto cepillado elimina el 50% de la placa, aumentando al 70% si se añade el hilo dental. Los cepillos interproximales y los irrigadores mejoran la limpieza de las zonas interdentales, que representan el 40% de la superficie dental.
- –
La clorhexidina a bajas concentraciones se indica en pacientes con periodontitis o periimplantitis.
- –
El control químico de la placa mediante el uso de fluoruros es la medida con mayor evidencia para evitar tanto la aparición como la progresión de la caries6.
El uso de dentaduras postizas requiere cuidados higiénicos muy especiales y visitas periódicas con el odontólogo. La higiene de la dentadura postiza es muy importante para evitar infecciones, halitosis y mal sabor de boca. Es importante cepillar la dentadura a diario y retirarla por la noche para que descansen las encías. Se recomienda sumergir la dentadura cepillada en una solución limpiadora durante unos 15-30 minutos. Al sacar la dentadura de la solución limpiadora, debe cepillarse de nuevo y enjuagarse, antes de volver a ser utilizada.
Profilaxis antibióticaLa profilaxis antibiótica en procedimientos dentales tiene como objeto minimizar o eliminar el riesgo de bacteriemia transitoria en pacientes que van a recibir una intervención dental invasiva y presentan un alto riesgo de complicaciones.
Profilaxis de endocartidits bacteriana en procedimientos odontológicos15.
Los estreptococos de la microbiota oral son responsables del 20-40% de las endocarditis bacterianas y la higiene oral deficiente es un factor de riesgo conocido.
Solo puede prevenirse con antibióticos un número reducido de casos de endocarditis infecciosa mediante profilaxis antibiótica previa a los tratamientos dentales. La evidencia que apoya las recomendaciones de las guías de práctica clínica de los últimos años, relacionadas con la profilaxis antibiótica para la prevención de endocarditis infecciosa, es escasa y la mayoría de los estudios disponibles son heterogéneos y de baja calidad metodológica.
El riesgo de efectos secundarios de los antibióticos excede al beneficio de la profilaxis antibiótica.
Es más importante una buena higiene oral que la profilaxis antibiótica a la hora de reducir el riesgo de endocarditis infecciosa. Por lo tanto, la profilaxis antibiótica antes de los procedimientos dentales solo debería administrarse en pacientes con alto riesgo de sufrir endocarditis bacteriana:
- –
Pacientes con válvula y/o material protésico utilizado para la reparación de válvulas cardiacas
- –
Pacientes con antecedentes de endocarditis infecciosa.
- –
Pacientes con cardiopatías congénitas.
Tratamiento de elección.
Adultos:
- –
Amoxicilina oral 2g 1/2 hora antes del procedimiento.
- –
Alternativa en alérgicos a betalactámicos: cefalexina oral 2g 30 minutos antes del procedimiento. Dado el riesgo de alergia cruzada de las cefalosporinas, algunas guías recomiendan clindamicina 600mg 30 minutos antes del procedimiento.
Niños:
- –
Amoxicilina oral 50mg/kg 1/2 hora antes del procedimiento.
- –
Alternativa en alérgicos a betalactámicos: cefalexina oral 50mg/kg 30’ antes del procedimiento. Dado el riesgo de alergia cruzada de las cefalosporinas, algunas guías recomiendan clindamicina 20mg/kg por vía oral (máx. 600mg) 30’ antes del procedimiento.
A Santi de Pablo por los dibujos y a Natalia Sánchez por las fotografías.
