Presentamos el caso de un paciente de 63 años que consulta por disnea desde hace 15 días que se ha convertido a medianos esfuerzos desde hace unos meses. Exfumador de 10-15 cigarros al día hasta hace 20 años. Exposición laboral al amianto. Se efectúa radiografía de tórax urgente desde atención primaria con el siguiente resultado:
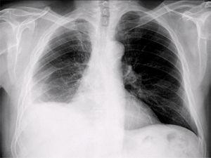
- •Radiografía de tórax anteroposterior (fig. 1): disminución de volumen del pulmón derecho. 
- •Radiografía de tórax de perfil (fig. 2): ángulo costofrénico borrado. 
Dadas las imágenes radiológicas efectuadas, se remite al paciente a centro hospitalario donde se hace ingreso para estudio.
1Exploraciones complementarias1. Ecografía abdominal: Moderado derrame pleural derecho. Hígado de tamaño y morfología normales, de ecogenicidad aumentada, en relación con esteatosis. No se visualizan lesiones focales. Porta permeable y de calibre normal. Vesícula biliar alitiásica. No dilatación de la vía biliar intra- ni extrahepática. Páncreas visualizado parcialmente (cuerpo) sin alteraciones visibles. Bazo homogéneo de tamaño normal. Riñones de tamaño y morfología normales, sin dilatación de vías excretoras. Próstata heterogénea, aumentada de tamaño, con un volumen calculado de 63 centímetros. Ausencia de líquido libre. Conclusión: Esteatosis hepática. Derrame pleural derecho. Aumento del tamaño prostático. Sin otros hallazgos valorables.
2. Tomografía axial computarizada de tórax: Se practica adquisición helicoidal sobre región torácica con algoritmo de reconstrucción de pulmón y de partes blandas. Pared torácica sin alteraciones valorables. Estructuras mediastínicas centradas, de morfología normal. No se evidencian adenopatías mediastínicas de tamaño significativo. Hilios pulmonares de tamaño normal y morfología vascular. Parénquima pulmonar izquierdo sin alteraciones significativas. Colapso/atelectasia del segmento posterior del lóbulo superior y pirámide basal del lóbulo inferior derecho. Derrame pleural derecho, sin claro engrosamiento nodular. Glándulas suprarrenales de tamaño y morfología dentro de la normalidad. Granulomas calcificados esplénicos. Resto de estructuras visualizadas sin hallazgos. Conclusión: Derrame pleural derecho con colapso/atelectasia del parénquima descrito.
3. Toracentésis: Citología de líquido pleural: proliferación mesotelial atípica, muy sugestiva de mesotelioma (la celularidad es positiva para EMA y calretinina y negativa para desmina).
4. Broncoscopia: Tráquea normal con placas blanquecinas compatibles con posible infección micótica. Carina: centrada y afilada en bronquio derecho: se explora árbol bronquial derecho hasta bronquios segmentarios sin observarse lesiones endoluminales. Signos de compresión extrínseca sin evidencia de masa obstructiva con mucosa de aspecto inflamatorio. Secreciones purulentas. Bronquios izquierdos: se explora el árbol bronquial izquierdo hasta bronquios segmentarios sin observarse lesiones endoluminales. Con mucosa de aspecto inflamatorio. Secreciones purulentas. Citología de BAS: celularidad bronquial con atipia con un fondo degenerado.
2EvoluciónLa cirugía que precisaría el paciente es una pleuroneumonectomía derecha por extensa afectación de todas las capas pleurales.
El paciente descarta la cirugía y prefiere un tratamiento alternativo con base en quimioterapia y radioterapia versus ensayo clínico.
3ConclusiónEl mesotelioma es un tumor que deriva de la superficie mesodérmica de la cavidad celómica embrionaria, que posteriormente dará lugar a la pleura, el pericardio, el peritoneo y la tunica vaginalis del testículo3. Este origen mesodérmico le confiere la potencialidad de desarrollar un componente epitelioide y otro sarcomatoso. Desde la década de los 50 del pasado siglo se conoce la asociación de este tumor con el asbesto, particularmente en sus formas de “amianto azul” (o crocidolita) y “amianto blanco” (crisotilo), y también es bien conocida su relación con la exposición a erionita, que es un contaminante natural del suelo en varias regiones del mundo, particularmente en la región de Capadocia (Turquía), donde se observa una incidencia muy elevada de mesotelioma, probablemente asociada también a una cierta susceptibilidad genética.
En aproximadamente el 80% de los casos de mesotelioma hay una relación causa-efecto con exposición laboral a asbesto, con un amplio espectro de profesiones implicadas, pero también hay que tener en cuenta la posible exposición ambiental, en general por vecindad con minas o fábricas donde se manipula el mineral o por contaminación a través de la ropa de trabajadores del asbesto.
Referencias no citadas 
                 
                                         
                                        

