Mujer de 52 años, con antecedentes personales de infección por el virus de la inmunodeficiencia humana con buen control. Acude al hospital por disnea tras caída desde su propia altura con traumatismo torácico 12 horas antes, así como dolor torácico irradiado a hombro derecho, afebril y con buena saturación de oxígeno. A la exploración física presenta hipoventilación en hemitórax derecho; el resto de la exploración física no muestra hallazgos de interés.
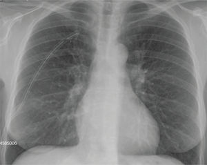
Se realiza radiografía de tórax donde se visualiza neumotórax derecho completo (fig. 1). En la analítica sanguínea no se objetivan alteraciones significativas.
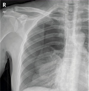
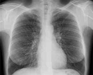
Tras estos hallazgos, se coloca tubo de drenaje torácico y es ingresada en el servicio de cirugía torácica. Tras 24 horas, presenta resolución completa del neumotórax, por lo que se pinza el tubo de drenaje (fig. 2). En la radiografía de control de 24 horas persiste resolución del cuadro, por lo que se retira dicho tubo (fig. 3).
El neumotórax se define como la entrada de aire en el espacio pleural, lo que supone una pérdida de presión negativa dentro de la pleura y provocando un colapso pulmonar. Dependiendo de su etiología se clasifica en espontáneo, traumático y yatrogénico1.
El neumotórax traumático es producido por trauma penetrante o cerrado del tórax, de forma que el aire ingresa en el espacio pleural a través de la pared torácica por perforación pulmonar o rotura alveolar debido a una compresión súbita del tórax. Puede ser subclasificado en cerrado, abierto, a tensión o hemoneumotórax. Estos tres últimos son tres de las seis causas probables de muerte en un paciente politraumatizado2.
La sintomatología que produce el neumotórax es variada; lo más frecuente es dolor torácico de características pleuríticas, de inicio agudo o subagudo; disnea; tos seca; expectoración hemoptoica o síncope. Sin embargo, es posible la ausencia de síntomas en más de un 10% de los casos1. En la exploración física podemos encontrar la tríada clásica de disminución o ausencia de vibraciones vocales, timpanismo y disminución o ausencia del murmullo vesicular, así como otros signos como el enfisema subcutáneo. En otras pruebas complementarias podemos encontrar hipoxemia con o sin hipercapnia y alcalosis respiratoria, por hiperventilación.
Ante la sospecha clínica de neumotórax tras un traumatismo torácico, es importante realizar una correcta exploración física completa y una radiografía de tórax posteroanterior y lateral en inspiración para confirmar el diagnóstico. En los casos dudosos se puede hacer una radiografía en inspiración-espiración o una tomografía axial computarizada (TAC) torácica. Se recomienda realizar TAC toracoabdominal en aquellos traumatismos que sugieran alto impacto torácico u otros signos en el examen físico como dolor abdominal o lesiones físicas.
El tratamiento del neumotórax traumático se basa en el drenaje pleural mediante la colocación de un tubo de drenaje, salvo en casos de neumotórax mínimos donde el tratamiento puede ser conservador. Los casos de neumotórax a tensión y neumotórax abierto constituyen urgencias quirúrgicas inmediatas. La indicación quirúrgica del neumotórax traumático simple se limita a los casos de fugas aéreas mantenidas y cuando hay falta de expansión pulmonar a pesar del drenaje pleural3.
